


インビザラインとは、透明で目立ちにくいマウスピース矯正装置のことです。薄くて透明なので、装着していても目立ちにくく、取り外すことも可能です。
インビザラインを使った矯正治療は国内だけでなく世界中で行われています。



薄くて透明なプラスチックでできたマウスピースを使用しますので、装着していても目立ちません。そのため、「矯正装置が気になって歯を見せて笑えない」といったことはありません。ほとんど周囲に気付かれることがないため、「目立たない装置で矯正をしたい」「周囲に気付かれたくない」という方におすすめです。



マウスピース矯正の一番の魅力は、取り外せるので普段通りに食事が楽しめて、ブラッシングが行いやすい点でしょう。
ワイヤー矯正の場合は、食べ物が装置に付着したり、装置の着色原因となる食べ物(カレーなど)を控える必要があったり、虫歯リスクが高くなったりするなど、さまざまなデメリットもあります。しかし、マウスピース矯正は取り外せるため、そのようなデメリットはありません。
また、特別な行事がある場合などには、装置を外して出席できます。












マウスピース矯正装置(インビザライン)は、治療プログラムを作成し、段階に応じたマウスピースを装着して、シミュレーション通りに歯を動かしていきます。
治療の進行状況に応じて新たに歯型を取ってマウスピースを作成するならば、通院回数は多くなってしまいますが、治療完了に至るまでの総合的な治療プログラムを事前に作成し、その通り歯を動かすためのマウスピースを事前に(段階ごとに)作成しますので、余計な通院回数を減らせます。


接客業など人と話す機会の多い人は、矯正装置の見た目だけでなく、話しやすさも重要なポイントかと思います。しかし、マウスピース矯正装置(インビザライン)はとても薄いので、会話に支障が出たりすることはありません。
装着をはじめて数日は、しゃべりにくく感じる方もいらっしゃるようですが、慣れると普段と変わらず話せるようになります。


3Dデジタル画像・シミュレーション技術により、画面を通じて、今後予想される歯並び・噛み合わせの変化を画像を用いてご説明できます。
曖昧であった治療に対するイメージが具体的になることで安心感が生まれ、治療完了時のご自身の口元(治療のゴール)も視覚的に確認できるので、治療のモチベーションを維持しやすいという点も大きなメリットでしょう。 また、計画に沿って治療を進めますので、治療完了の時期も明確になります。

抜歯が必要で、歯を大きく移動しなければならないケースなど、マウスピース矯正ではイメージ通りの口元に近づけられないケースもあるというのが実情です。また、永久歯が生えそろう前のお子様の場合も、成長予測ができないことから、マウスピース矯正による治療はできません。
ご自身でマウスピースを取り外すことができるため、歯磨きをした後にうっかり付け忘れてしまうことがあります。しかしマウスピースは1日20時間以上装着していないと効果が表れにくいため、治療計画の通りに治療を進めるには、マウスピースの装着時間を守る必要があります。

ワイヤー矯正とは、歯の表面に付けたブラケットという部品に、ワイヤーを通して歯を動かす一般的な矯正治療の方法ですが、従来は金属製のためどうしても目立ってしまいました。しかし、近年は白や透明のブラケットとホワイトワイヤーの使用により、目立ちにくい矯正治療が可能になりました。ただし、セラミックなどの審美性の高いブラケットは金属製よりも高額なため、目につきやすい前歯部にのみ使用する場合があります。



先にもありましたが、透明や白色の素材を使用するので目立にくいというメリットがあります。セラミックには、着色しにくい特徴があり、矯正治療は比較的長くなりますが、その間も審美性が高い状態を維持できます。


ワイヤー矯正は、マウスピース矯正では対応できないケースでも、幅広く適応します。また、金属アレルギーがあって金属の装置が使用できない方も、安心して治療を行えます。








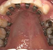
裏側矯正(リンガルブラケット)とは、その名の通り、歯の裏側(舌側)にブラケットを装着する治療法です。
歯の裏側に装置をつけるため、ほとんど見えません。



表側矯正の場合、話をしたり笑ったりすると、どうしてもブラケットやワイヤーが見えてしまいます。しかし歯の裏側に矯正装置をつけることで、よほど大きな口を開けない限り、周囲の人に気付かれにくいという特徴があります。


歯の裏側は、唾液の効果が得やすく、表面に比べて虫歯のリスクが低いことから、歯の表面に矯正装置を付けた場合に比べ、虫歯になりにくいのが特徴です。もちろん、しっかり歯磨きを行う必要はありますが、矯正治療中の虫歯が心配な方におすすめです。


歯の表面にブラケットを付けた場合よりも、裏側に付けた時の方が1つ1つのブラケットにかかる負担を抑えることができます。大きな力が加わることで、歯の表面に接着剤で付けているブラケットが外れてしまう心配もありません。


歯並びが悪くなる原因の一つに、舌で歯を後ろから押したり、上の前歯と下の前歯の間に舌を挟んだりする「舌癖」がありますが、矯正中は歯の裏側にある矯正装置があるせいで舌の動きが制限されるため、舌癖が改善される可能性が高くなります。








裏側矯正は、表側矯正よりも高い技術が求められますが、残念ながら治療経験を十分に積んでいない医師も少なくありません。当院では、経験豊富な医師が治療を担当しますので、安心して治療を受けていただくことができます。
マウスピース型カスタムメイド矯正装置について
通常費用(装置費用)
インビザライン矯正363,000円~1,056,000円(税込)
治療内容
マウスピース型カスタムメイド矯正装置(インビザライン)による矯正治療は、マウスピース型カスタムメイド矯正装置を1日20時間以上(目安)装着して歯を移動させる治療法です。1週間~2週間毎に新しい装置に交換します。
リスク・副作用